근육은 크게 3가지로 나뉜다. skeletal, cardiac, smooth. 그림을 보면 skeletal은 대체로 다핵세포이고 핵이 가쪽으로 치우쳐져있다(검은덩어리). cardiac muscle은 mononucleated(대부분) or binucleated일 수 있지만 세포가 지그재그로 되어있고 핵이 가쪽보다는 비교적 안쪽에 위치하게 된다. 민무늬근육은 둘과 다르게 무늬가 없는것만으로 구분이 가능하다.
초록색 박스에 sacromere는 근육의 기능체적 단위이다.
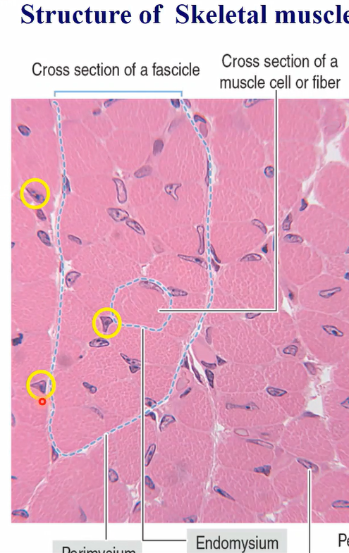
skeletal muscle의 epimysium, perimysium, endomysium은 근막을 이야기하다. satellite cell이 중요한데 똑같은 개념으로 ganglion쪽에서 신경체를 둘러싸고있는 세포도 satellite cell이다. 이름 자체가 위성세포라서 가쪽에 위치한다. 근육과 근육 사이에 위치하여 근육조직이 손상당할때 분화되는 stem cell 역할을 한다고 알려져있다. neuromuscular junction은 신경 자극에 의해서 팔이 움직이는 역할을 하는 곳이다. di/triad는 바깥쪽에서 시그널이 오면 근육을 움직이는 칼슘의 움직임 통로라고 생각하면 된다. 기본적으로 tubule인데 그 위치가 skeletal과 cardiac이 다르다. diad는 z disk 바로 안쪽에 있고 triad는 a 밴드가 끝나는 부분에 걸쳐있다. (아래 그림 참고)
근육바깥막 epimysium이 감싸는 부분 안에 또 근육다발을 감싸는 부분이 있는데 그 부분을 근육다발막 perimysium이라 한다. 또 그 안에 근육섬유를 감싸는 부분은 근육섬유막 endomysium이다.
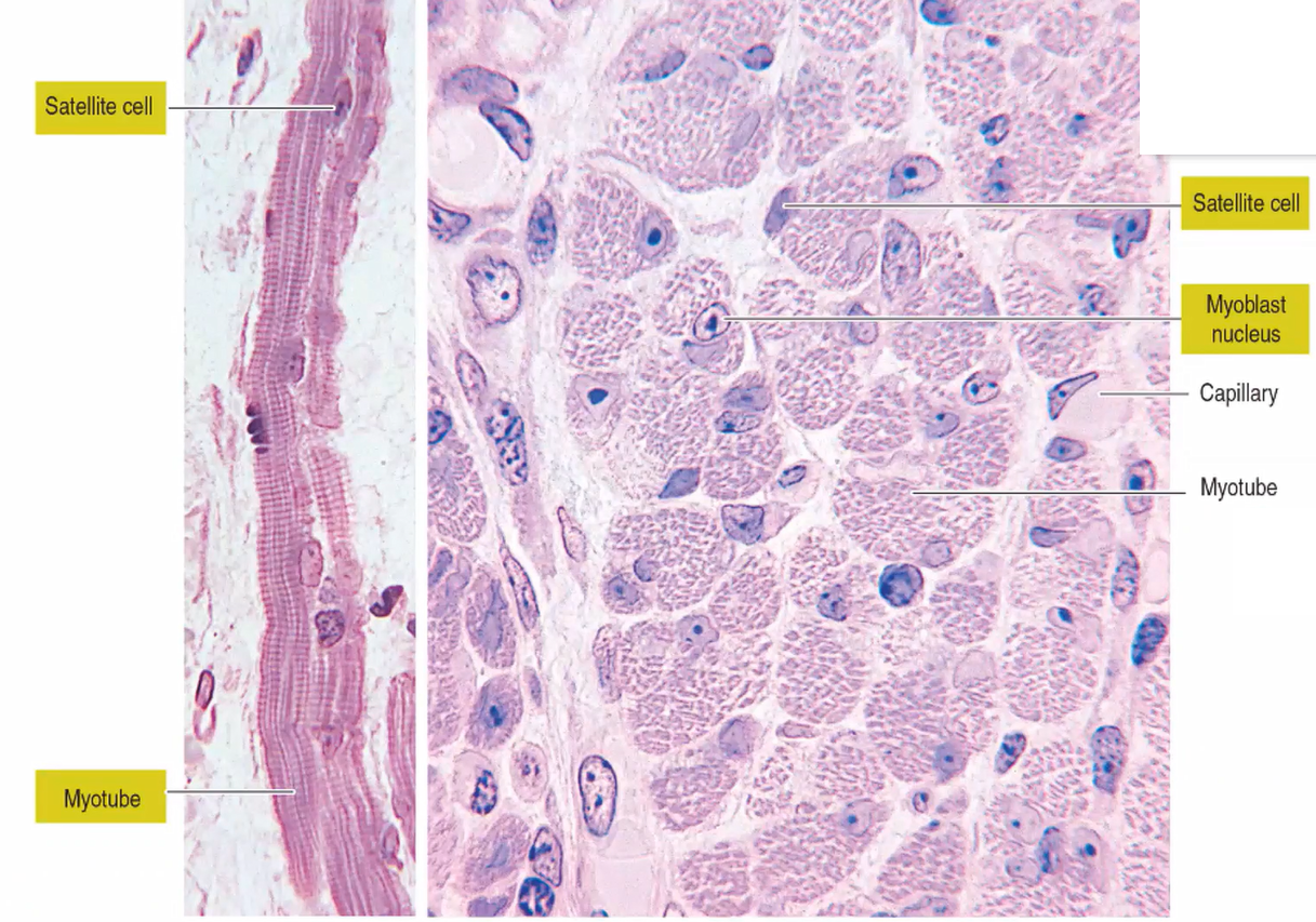
노란색으로 동그라미 친 부분은 막 바깥에 위치한 위성세포다. 그리고 sarcolemma와 endomysium은 다른 개념이다.
위의 그림은 근육의 구조를 세포단계부터 순차적으로 보여주는다. 맨 아래의 그림을 자세히 나타내면 아래 그림처럼 된다.
파란색 부분 sarcoplasmic reticulum은 ER(endoplasmic reticulum)과 비슷한 개념인데 칼슘 이온을 저장하는 부분이다. 노란 t tubule이 보이는데 이는 A밴드 경계선에 있다. cisterna라는 개념이 보이는데 tubule 옆에 있는 sarcoplasmic reticulum의 마지막 부분이다.
섬유마디의 각 부위별 가로 단면은 알아두면 좋다. Z선에서 보이는 connective filament이 있는데 titin을 부착시킨다. titin단백질은 I띠에서도 보인다.
위 그림에서 액티닌은 Z disk를 만든다. 그리고 액틴 필라멘트 안에 보면 네불린이라는 단백질 하나가 관통한다. 참고로 Z선과 Z선 사이는 근육이 움직이는 가장 작은 단위체로 sarcomere라는 단어를 쓴다.
티틴은 미오신을 관통한다. 근육의 작용 기전은 생리학 파트이기때문에 이 글에서는 다루지 않는다.
Dystrophin과 Desmin이 중요하다.
Dystophin이 없어지면 근육의 기능을 제대로 하지 못하게 된다. 이것이 없는 mutation은 duchenne's muscular dystrophy인데 주로 4~5세 남아에게 발병한다. 현미경으로 근육섬유 단면을 보면 다른 부분보다 밝은 색으로 보이게 된다.
Desmin은 필라멘트를 한번 꼬아주는데 Costamere에 결합한다. 이 부분에 그림처럼 수많은 기능체들이 결합하기 때문에 desmin이 없으면 치명적이다. costamere는 Z disk를 묶어주는데 역할을 하기도 한다. (아래 그림 참고)
여기서 중요한 것은 neuromuscular junction에 아세틸콜린이 분비된다는 것이다.
위 그림은 근육의 작용 기전을 간단하게 요약해놓았는데 아는것이 좋다.
느린 섬유는 힘이 세서 산소가 많이 필요하고 때문에 미오글로빈이 많아 더 붉은 색을 띤다.
아세틸콜린 분비를 받으면 세포막전위가 플러스로 바뀌면서 voltage gated channel이 열린다. 이러한 기전이 일어나는 곳이 reticulum쪽이기 때문에 칼슘을 많이 가지고 있다. 여기서 sarcoplasmic region으로 칼슘이온을 분비한다. 그곳에 필라멘트들이 있는데 근육을 수축하는데 사용하고 그 이후 다시 reticulum안으로 들어온다. Calsequestrin은 칼슘이온을 바인딩시켰다가 신호를 전달받으면 release시켜서 'Ryanodine-sensitive Ca2+ channel'을 통해 분비된다. 이 채널은 아주 중요하다. 이 채널이 위치한 곳은 sarcoplasmic reticulum이다. 세포 막에 있는 것은 아니다. 다시 칼슘이온을 들여올때는 Ca2+ATPase를 사용한다.
위 글도 한번 읽어보면 도움이 된다.
t tubule 위아래로 관이 있어서 triad이다. 이 경우엔 방향성이 없지만 심장 근육에서 diad는 방향성이 있다. 즉 자극 전달 방향이 skeletal muscle은 양옆이라면 cardiac muscle은 한쪽으로만 전달된다.
위 사진은 근육방추 (muscle spindle)의 구성요소를 보여주는 모식도이다. 근육방추는 섬세한 움직임이 필요한 근육에 더 많이 분포해있다.
들어오는 것은 운동신경, 나가는 것은 감각신경이 많다.
cardiac muscle에서 보이는 사이원반은 세포와 세포가 맞닿는 부분이다. 사이원반은 부착이음(adherens junction), 부착반점(결합체 desmosome), 틈새이음(gap junction)으로 구성되며 일반적으로 빠른 이온의 이동을 도와주는 것은 gap junction이다.
중간에 세포와 세포 사이에 이어진 부분이 사이원반 (intercalated disc)이다.
심장근육에도 sarcoplasmic reticulum이 있는데 phospholamban(PLN or PLB)가 부착되어있다. 여기서 ATP를 써서 phosphorylation 여부에 따라 channel의 여닫이 여부가 결정된다 (PLN이 인산화되어야 SERCA2a가 작동하여 칼슘이온을 들여온다). SERCA2a와 PLN이 칼슘이온을 reticulum안으로 들이는 역할을 한다. 그림에는 RyR1으로 적혀있는데 cardiac muscle에서는 RyR2이다.
앞에서 언급한 diad를 보여주는 그림이다. diad는 z disk쪽에 붙어있다.
민무늬 근육은 sarcomere라는 개념은 없지만 특이적으로 Caveolin이라는 단백질이 막 근처에 존재한다. 물질을 흡수하는 역할을 하는데 소화기관에 분포하는 근육이다보니 흡수를 많이 해야되서 이런 것들이 발달되어있다. 오른쪽 그림을 보다시피 줄무늬를 찾아볼 수 없다
'공부내용 > 의학' 카테고리의 다른 글
[조직학] 상피세포 - 배열및 관찰 (0) | 2020.10.16 |
---|---|
[조직학] 상피세포 - 기본적인 기능 (0) | 2020.10.16 |
[조직학] 세포2 (0) | 2020.10.13 |
[조직학] 조직과 세포 개념 (0) | 2020.10.13 |
[해부학] Femoral artery, Gluetal muscle (0) | 2020.10.10 |